Here we go! In theory, this could be my final AlignerCo update. I was given a 15 tray plan, and this post will be about my experience with trays 11 through 15. I’m writing this first part currently while wearing tray 11, so you’ll just have to come along for the ride to see how my last 5 trays go. Will my teeth look better? Will I require refinement trays? Keep reading to find out…or, I guess, cheat and scroll down to the bottom of this post!
In case you’re playing catch up, you can click here to go back and read all of my past AlignerCo posts/updates.
My AlignerCo Timeline:
- January 7th: Purchased AlignerCo’s ‘SmileAdvantage’ plan
- January 13th: Received my impression kit
- January 15th: Completed trial impression, emailed photos to AlignerCo
- January 21st: Completed the rest of my impressions (after receiving confirmation that my trial impressions were acceptable), emailed photos to AlignerCo
- January 23rd: Mailed my original set of impressions back to AlignerCo
- January 25th: AlignerCo confirmed receipt of my impressions
- February 13th: AlignerCo contacted me for photos of my teeth (although I had already uploaded them via the app)
- February 18th: Received and approved my 3D smile projection
- February 21st: AlignerCo notified me that my original impressions were “slightly compromised”, so they were sending me a trial set of aligners to check the fit
- March 20th: Received trail aligners and sent photos wearing them to AlignerCo
- March 22nd: AlignerCo responded back that the trail aligners did not fit properly and I’d have to redo my impressions
- March 30th: I received new impression material
- April 8th: I emailed photos of my new impressions
- April 9th: Received confirmation that my impressions looked ‘workable’, and to send them in
- April 10th: I mailed back my 2nd set of impressions
- April 18th: Received confirmation that they had my new impressions in their lab
- April 23rd: Received an email stating that my aligners were being produced and would ship in around 3 weeks
- May 13th: Received a tracking number for my aligners
- May 16th: My entire set of 15 top and bottom aligners, plus a complimentary teeth whitening kit, and one set of retainers arrived
- May 18th: Started wearing set one of my aligners!
- May 28th: Started aligner set two.
- June 7th: Started aligner set three.
- June 18th: Started aligner set four.
- June 30th: Started aligner set five.
- July 10th: Started aligner set six!
- July 21st: Started aligner set seven.
- July 31st: Started aligner set eight.
- August 11th: Started aligner set nine.
- August 21st: Started aligner set ten.
- September 2nd: Started aligner set eleven.
- September 15th: Started aligner set twelve.
- September 25th: Started aligner set thirteen.
- October 7th: Started aligner set fourteen.
- October 20th: Started aligner set fifteen!
- October 29th: DONE!
And in my typical boring fashion, here’s my tray by tray update for my last (?) 5 treatment trays. I took photos of every tray for this list, but I don’t think I’ll bother writing updates for each one because I feel like it’s getting rather repetitive.
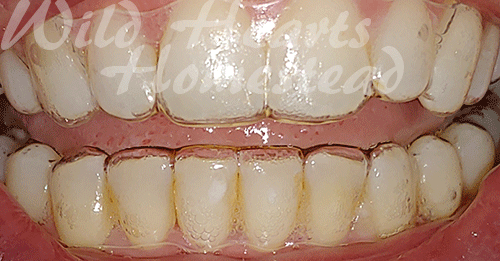
Aligners #11:

Aligners #12:


Aligners # 13:


Aligners # 14:


Aligners # 15:


Final? Thoughts
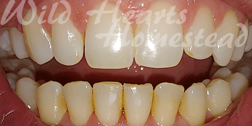
I’m done! I didn’t know when I started all this back in January of this year (2025 for all you future readers) that this would end up being a 10-month process. And I say 10 months, but in reality, I’ll actually still be wearing my retainer as much as possible daily until April (for 6 months), then after that, I’ll finally be able to switch to only wearing them at night.
I have to admit, when I got to around aligner set 13, I was very skeptical whether or not the spacing in my teeth would fully be closed by the end. I had that one last space alllll the way up until my very last aligner, which actually did close up the space. Out of my 15-step treatment, the last aligner, number 15, was by far the most painful one. I honestly kind of feel like that last remaining space should have been closed a bit more slowly, with maybe an extra aligner or two, but it is what it is.
Here’s a reminder of what my smile projection said my final result would be…

And my actual, final results…

I’d say, to my untrained eye, that my results come pretty close to matching my projection. Are my teeth perfect? No. But I’m happy enough with them. My main goal all along was to just get them looking a bit nicer, and especially to close up some of the spacing I had going on. And I’d say those goals were accomplished!
I don’t want this post to get to long, so I think I will eventually post one more update that will just outline my final thoughts in more of a review type format versus these update posts I’ve been doing. But hopefully my updates, especially this one with my final results, helps anyone who is thinking of trying out AlignerCo for themselves!
